Metamorfozy Pacjentów
Odkryj niesamowite historie przemian naszych pacjentów – ich determinacja, wytrwałość i efekty, które mówią same za siebie!

Przed leczeniem

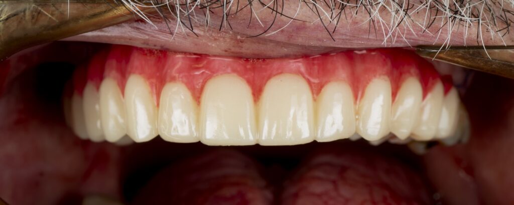
Efekt Leczenia

Przed leczeniem

Efekt Leczenia

Zobacz jak wygląda zabieg
Zobacz zdjęcia z rzeczywistych zabiegów – pokazujemy krok po kroku, jak wygląda proces odbudowy uśmiechu.



Przed leczeniem

Efekt Leczenia

Przed leczeniem

Efekt Leczenia
Zobacz jak to wygląda naprawdę
Zobacz fragment prawdziwego leczenia w naszej klinice.


Przed leczeniem

Efekt Leczenia

Przed leczeniem

Efekt Leczenia

Przed leczeniem

Efekt Leczenia

Przed leczeniem

Efekt Leczenia

Przed leczeniem

Efekt Leczenia

Przed leczeniem

Efekt Leczenia

Przed leczeniem

Efekt Leczenia


