Zdrowy uśmiech w jeden dzień
Rewolucyjna metoda leczenia stomatologicznego, która łączy wygodę, precyzję i skuteczność.

One Day Concept Olszewski®
One Day Concept to sposób na piękne zęby

One Day Concept to nowatorska metoda leczenia stomatologicznego, która pozwala na kompleksową odbudowę uzębienia w trakcie jednej wizyty. Dzięki zastosowaniu nowoczesnej technologii, precyzji oraz doświadczeniu dr. Grzegorza Olszewskiego, pacjenci mogą cieszyć się zdrowym i pięknym uśmiechem bez długotrwałego leczenia.




W ciągu jednej wizyty
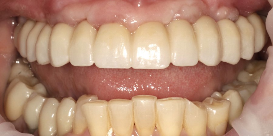
Pełna odbudowa uzębienia już w jeden dzień

Precyzyjnie
Najnowocześniejsze technologie gwarantujące dokładność i komfort.

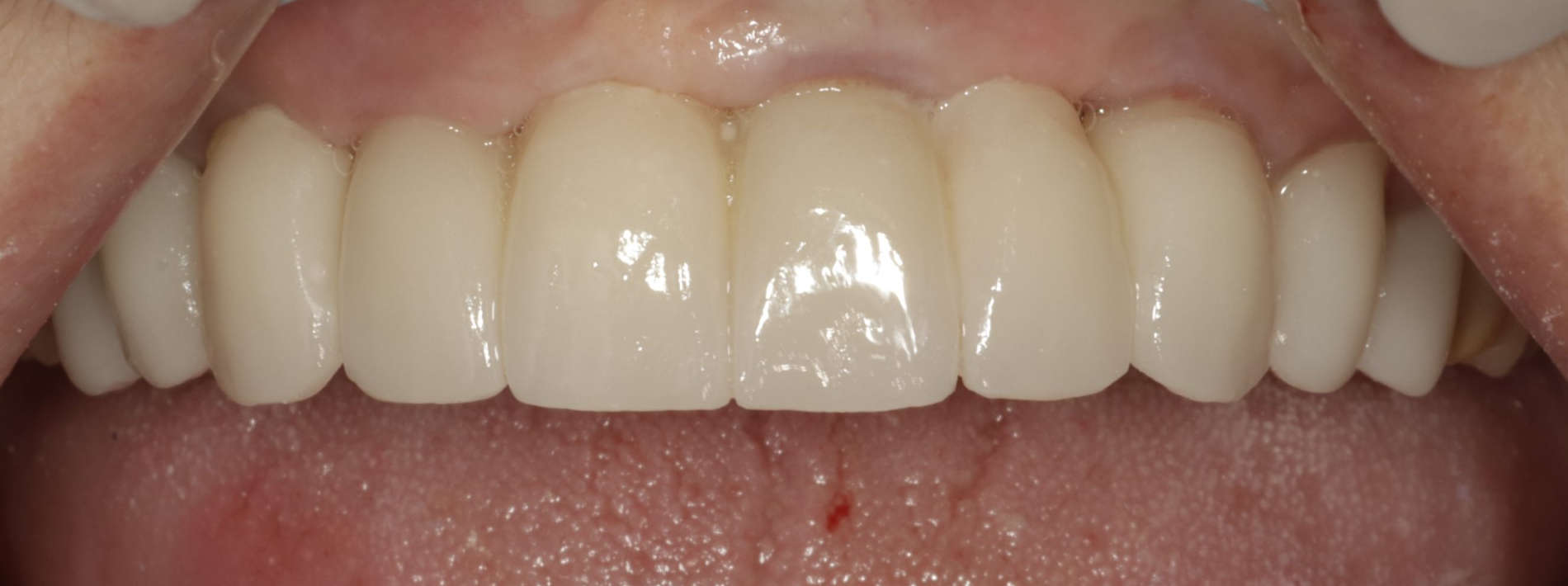
Estetycznie
Efekty, które zachwycają wyglądem i trwałością.

Kompleksowo
Wszystko – od konsultacji po wykonanie – w jednym miejscu.

Dla kogo jest One Day Concept?
Metoda One Day Concept została stworzona z myślą o osobach, które potrzebują szybkiego i kompleksowego rozwiązania w odbudowie uzębienia. Dzięki nowoczesnej technologii możemy pomóc w wielu sytuacjach, zapewniając trwałe i estetyczne efekty.”
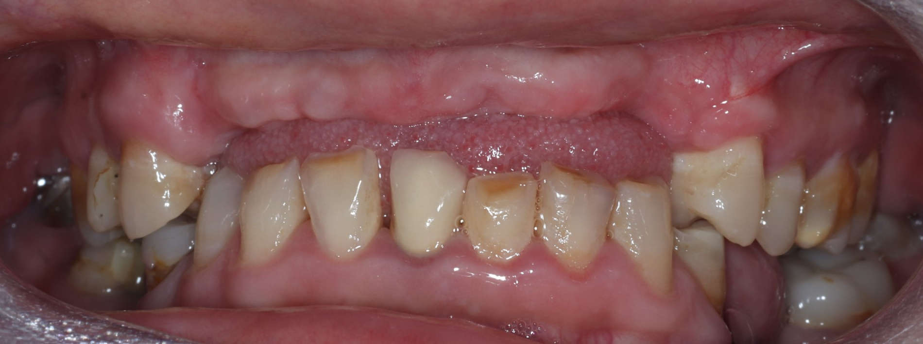
Zęby z zaawansowaną chorobą przyzębia
Twoje zęby dotknęła zaawansowana choroba przyzębia? Dzięki naszej nowoczesnej terapii przywrócimy zdrowie dziąseł i pełnię uśmiechu.
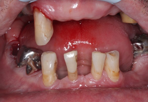
Braki wielozębowe
Masz kilka braków w uzębieniu? Dzięki naszej metodzie kompleksowo odbudujemy Twój uśmiech.
Uzębienie resztkowe
Jeśli posiadasz tylko część naturalnego uzębienia, możemy je zastąpić trwałym i estetycznym rozwiązaniem w jeden dzień.
Zęby które zostały zakwalifikowane do usunięcia
Twoje zęby nie nadają się już do leczenia? Usuniemy je i w jeden dzień odtworzymy piękny i zdrowy uśmiech.
Osoby z całkowitym bezzębiem
Metoda One Day Concept pozwala na odbudowę pełnego łuku zębowego w jeden dzień.
Osoby ceniące czas i wygodę
Jeśli chcesz uniknąć wielu wizyt i długotrwałego leczenia, to rozwiązanie jest właśnie dla Ciebie.
Po urazach i wypadkach
Można pozbyć się ruchomych protez.
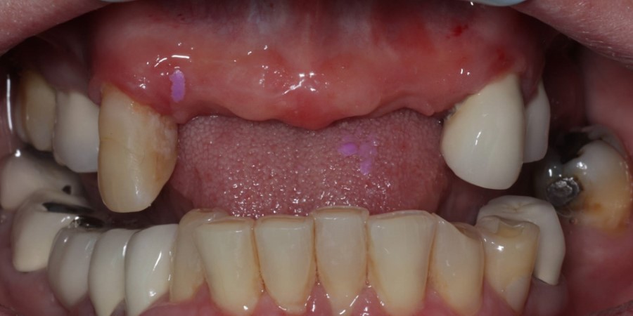
Efekty, które mówią same za siebie
Zobacz, jak One Day Concept zmienia uśmiechy naszych pacjentów. Odbudowa uzębienia to nie tylko zdrowie, ale również pewność siebie i piękny wygląd.








